Mazurek Dąbrowskiego na pewno nie jest hymnem typowym. Gdy inne hymny są bardzo powolne, dostojne, ten porywa za serce – mówi Małgorzata Gańska z Muzeum Hymnu Narodowego w Będominie, które znajduje się w rodzinnym dworze Józefa Wybickiego. Radzi także...
Psychogeriatria jako wyzwanie przyszłości była tematem czwartkowej (8 listopada) konferencji, zorganizowanej w szczecińskiej hali Netto Arena przez Miejski Ośrodek Pomocy Rodzinie i tutejszy oddział Polskiego Towarzystwa Gerontologicznego. O aspektach...
W Szczecinie powinien powstać jeden silny uniwersytet - stwierdził prof. Edward Włodarczyk, rektor Uniwersytetu Szczecińskiego, podczas inauguracji roku akademickiego. "Kurierowi" potwierdza, że US ma "pewne propozycje" dla innych uczelni. - Postawię...
Pójść na wycieczkę i wrócić z nową fryzurą to niebagatelne, ale wrócić z pomysłem na życie - to poważna sprawa. Pokaz zawodów dla szczecińskich przedszkolaków zorganizował w czwartek w ramach dni otwartych Zespół Szkół Rzemieślniczych przy ul. Chmielewskiego...
W czwartek o g. 17 w sali Herberta w Książnicy Pomorskiej w Szczecinie rozpocznie się panel dyskusyjny „Blaski i cienie II Rzeczypospolitej”, przygotowany przez Instytut Pamięci Narodowej. Zaproszenie do dyskusji przyjęli profesorowie: Andrzej Chojnowski...
W czwartek (8 listopada) o godz. 10 w auli Centrum Dydaktyczno-Badawczego Nanotechnologii Zachodniopomorskiego Uniwersytetu Technologicznego przy al. Piastów 45 w Szczecinie rozpocznie się konferencja "Dzień dobry biznes". Bank Gospodarstwa Krajowego...
Finał konkursu dla uczniów szkół ponadgimnazjalnych z województwa zachodniopomorskiego „Polskie drogi do niepodległości 1914-1923”, który odbył się w środę (7 listopada), pokazał szeroką wiedzę historyczną uczestników. Z okazji 100-lecia odzyskania przez...
W środę (7 listopada) o godzinie 19 w Muzeum Narodowe w Szczecinie przy Wałach Chrobrego ks. dr hab. Andrzej Draguła prof. US wygłosi wykład „Czy tylko szczęście wieczne? O potrzebie religijnej redefinicji szczęścia”. Na spotkanie wstęp wolny. Spotkanie jest...
Drugoklasiści z XIV Liceum Ogólnokształcącego w Szczecinie uczestniczyli we wtorek (6 listopada) w niecodziennej lekcji. W auli szczecińskiego ZUS-u poznawali bowiem tematykę ubezpieczeń społecznych. „Lekcje z ZUS” to autorski program prowadzony w tym...
Około stu osób rozpoczęło w roku akademickim 2018/2019 naukę na Wydziale Techniki Morskiej i Transportu Zachodniopomorskiego Uniwersytetu Technologicznego w Szczecinie. We wtorek (6 listopada) odbyła się immatrykulacja, czyli uroczystość przyjęcia ich...
Praktyczna nauka dziennikarstwa, redakcyjny staż, sprawdzenie reporterskich predyspozycji… To wszystko będzie możliwe w redakcji „Kuriera Szczecińskiego” dla zakwalifikowanych osób. Kontakt – nr tel. 603 665 853 lub 603 665 878. (red) Fot. Ryszard Pakieser
Ponad 25 proc. dzieci w wieku 12–13 lat, które nie mają żadnej dodatkowej aktywności fizycznej poza lekcjami WF-u, ma nieprawidłową masę ciała. Projekt badawczy #zacznijodlekkiej przeprowadzony wśród polskich nastolatków wykazał, że regularne ćwiczenia...
100 książek, 500 e-booków, 10 czytników wraz z interaktywnym kącikiem czytelniczym trafiło w poniedziałek do szczecińskiej Szkoły Podstawowej nr 16 - w ramach programu promującego czytelnictwo pn. Kindloteka firmy Amazon. Podobne akcje odbywają się w...
Uniwersytet Szczeciński oraz Pomorski Uniwersytet Medyczny to dwie uczelnie z naszego województwa, które otrzymały dofinansowanie z ministerialnego programu "Regionalna Inicjatywa Doskonałości". US dostał 10 684 000 złotych, a PUM - 12 milionów złotych. US...
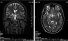
Glejak, podobnie jak inne guzy mózgu, nie powoduje charakterystycznych objawów. Rozwijając się w danej lokalizacji, uszkadza komórki obszarów odpowiedzialnych za konkretne aktywności. Może to doprowadzić na przykład do niespodziewanych zmian zachowania. – Zdarza...