Poniedziałek, 13 kwietnia 2026 r. 
REKLAMA

Wzrost zachorowań na zapalenie opon mózgowo-rdzeniowych

Data publikacji: 25 listopada 2018 r. 12:20
Ostatnia aktualizacja: 09 lipca 2019 r. 12:26
Wzrost zachorowań na zapalenie opon mózgowo-rdzeniowych
 

Niewielki wzrost zachorowań na zapalenie opon mózgowo-rdzeniowych zanotowano na terenie województwa zachodniopomorskiego (do 15.11.br.) - poinformował wojewódzki sanepid. Zgłoszono 66 przypadków w stosunku do 47 zachorowań 
w 2017 r.

REKLAMA

Okresowy wzrost zachorowań może mieć związek z rozpoczynającym się sezonem zimowym - zaznacza Zachodniopomorski Państwowy Wojewódzki Inspektor Sanitarny 
w Szczecinie. Do 23 bm. do Powiatowej Stacji Sanitarno-Epidemiologicznej w Policach "wpłynęły zgłoszenia zachorowania na wirusowe zapalenie opon mózgowo-rdzeniowych inne określone 
i nieokreślone sześciorga dzieci, w tym czwórki dzieci uczęszczających do jednej z polickich szkół". 
W związku z tym Państwowy Powiatowy Inspektor Sanitarny w Policach podjął działania edukacyjne w stosunku do nauczycieli oraz rodziców tej szkoły. Zalecono m. im. przestrzeganie higieny rąk oraz częste wietrzenie klas. Poinformowano też na temat objawów chorobowych i konieczności zgłoszenia się do lekarza w przypadku ich wystąpienia. W szkole przeprowadzono również dodatkową dezynfekcję pomieszczeń.

Zapalenie opon mózgowo-rdzeniowych (ZOMR) ma pochodzenie wirusowe i przebiega na ogół łagodnie. Główne objawy to: gorączka, bóle mięśniowe, nudności, wymioty, bóle brzucha, biegunka oraz objawy podrażnienia opon mózgowo-rdzeniowych w postaci sztywności karku (rzadko występują na samym początku choroby). Choroba trwa ok. 10 dni, a chory podlega hospitalizacji.

"Źródłem wirusów zapalenia opon mózgowo-rdzeniowych są najczęściej osoby chore. Zazwyczaj do zakażenia dochodzi przez kontakt bezpośredni, drogą kropelkową lub pokarmową przez nieumyte ręce, rzadziej pośrednio przez przedmioty zanieczyszczone kałem chorego" - czytamy w komunikacie Wojewódzkiego Inspektora Sanitarnego.

Zalecane jest rygorystyczne przestrzeganie zasad higieny osobistej 
z uwzględnieniem mycia i dezynfekcji przedmiotów mogących mieć kontakt z kałem lub śliną chorego (przedmioty codziennego użytku oraz urządzenia sanitarne).

(isz)

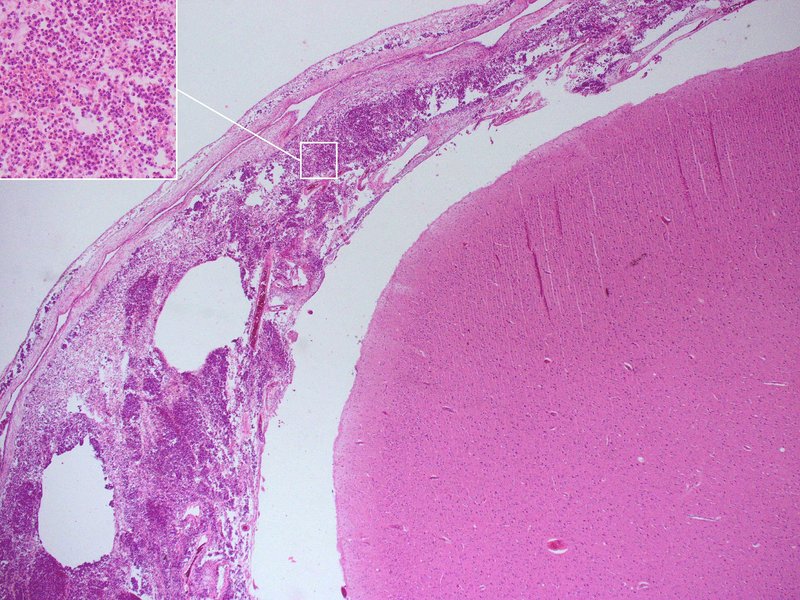
Fot. Marvin 101 (Wikipedia)

Na zdjęciu: obraz mikroskopowy zapalenia opon mózgowych 

REKLAMA

Komentarze

Matematyk
2018-11-25 15:27:42
Przepraszam ale cos nie gra. Wzrost jest o omal 50% jak można napisać że NIEWIELKI?
Aby odpowiedzieć na komentarz, musisz być zalogowany.
Tylko zalogowani użytkownicy mają możliwość komentowania
Zaloguj się Zarejestruj
REKLAMA
REKLAMA